بلاگ
آیا آب آوردن زانو نشانه بیماری جدی است؟ راهنمای تشخیص و درمان
آب آوردن زانو یکی از شایعترین مشکلات مفصلی است که میتواند در هر سنی و به دلایل مختلفی بروز کند. در بیشتر موارد، این تورم نتیجه فشار یا آسیب خفیف است و با استراحت یا درمان خانگی برطرف میشود؛ اما گاهی همین ورم ساده، میتواند نشانهای از یک بیماری جدیتر در بدن باشد.
شناخت تفاوت میان ورمهای موقتی و موارد هشداردهنده، به شما کمک میکند تا بهموقع اقدام کرده و از بروز عوارض پیشرفته جلوگیری کنید. در این مقاله بررسی میکنیم که آب آوردن زانو تا چه حد میتواند خطرناک باشد، چه زمانی نشانه بیماریهای جدی است و چگونه باید به آن واکنش نشان داد.
پیش از آن، نگاهی کوتاه به دلایل اصلی بروز آب آوردن زانو میاندازیم تا ارتباط آن با بیماریهای زمینهای بهتر مشخص شود.
علت بروز ورم و آب آوردن زانو
در مقالهای جداگانه بهصورت مفصل درباره علت ورم زانو صحبت کردیم، اما در اینجا بهطور خلاصه به مهمترین دلایل این عارضه اشاره میکنیم تا دید بهتری نسبت به منشاء آن داشته باشید:
آسیبهای فیزیکی
ضربه مستقیم به زانو، پیچخوردگی یا پارگی رباطها و مینیسک میتواند موجب تجمع مایع در مفصل و تورم فوری شود.
التهاب مفصلی (آرتریت)
بیماریهایی مانند آرتریت روماتوئید، نقرس یا آرتروز با ایجاد التهاب در بافت مفصل باعث تورم مزمن زانو میشوند.
عفونت مفصل (سپتیک آرتریت)
اگر ورم با قرمزی، تب و درد همراه باشد، احتمال عفونت وجود دارد و نیاز به درمان فوری پزشکی دارد.
تجمع مایع مفصلی یا کیست بیکر
در برخی موارد، مایع اضافی از مفصل به پشت زانو منتقل میشود و باعث آب آوردن زانو در قسمت بالای ساق یا پشت زانو میگردد.
بیماریهای سیستمیک
بیماریهایی مانند لوپوس، مشکلات کلیوی یا اختلالات غددی میتوانند سبب احتباس مایعات در بدن و تورم مفاصل از جمله زانو شوند.

آیا آب آوردن زانو نشانه بیماری جدی است؟
در بسیاری از مواقع، آب آوردن زانو موقتی است و با چند روز استراحت و مراقبت ساده از بین میرود. با این حال، گاهی تورم مداوم یا همراه با علائم خاص، نشانه بیماریهایی است که نیاز به بررسی فوری پزشکی دارند. تشخیص این موارد معمولاً با دقت به علائم همراه، محل دقیق ورم و سرعت پیشرفت آن انجام میشود.
نشانههای هشداردهنده
اگر ورم زانو با یکی از موارد زیر همراه باشد، میتواند زنگ خطر باشد:
-
درد شدید و غیرقابل تحمل
-
قرمزی یا گرمای موضعی زانو
-
تب یا احساس ناخوشی عمومی
-
تورم سریع و پیشرونده
-
محدودیت حرکتی یا قفل شدن مفصل
محل ورم و معنی آن
محل بروز تورم میتواند سرنخ مهمی درباره نوع بیماری بدهد:
-
ورم بالای زانو: معمولاً به التهاب بورس یا وجود کیست بیکر مربوط است و ممکن است نشانه تجمع مزمن مایع مفصلی باشد.
-
ورم زیر زانو یا اطراف کشکک: اغلب به تاندونیت، پارگی مینیسک یا التهاب مفصل اشاره دارد.
-
ورم در کل مفصل: میتواند نتیجه آرتریت، عفونت یا آسیبهای درونی مفصل باشد.
بیماریهای جدی مرتبط با آب آوردن زانو
در صورت مشاهده علائم بالا، احتمال وجود یکی از این بیماریها مطرح میشود:
-
سپتیک آرتریت (عفونت مفصل): نیاز به تخلیه فوری مایع مفصلی و مصرف آنتیبیوتیک دارد.
-
آرتریت روماتوئید فعال: نوعی بیماری خودایمنی که مفاصل را متورم و دردناک میکند.
-
آرتروز شدید یا آسیب غضروفی: در مراحل پیشرفته، تورم مفصل پایدار میشود.
-
لخته خون (ترومبوز) یا التهاب وریدی: میتواند باعث ورم ناگهانی و خطرناک در ناحیه زانو و ساق شود.
-
تومورهای استخوانی نادر یا کیستهای غیرطبیعی: در موارد نادر، تورم بدون درد میتواند علامت رشد توده باشد.
در مجموع، آب آوردن زانو زمانی جدی تلقی میشود که با درد، تب، یا محدودیت حرکتی همراه باشد یا طی چند روز کاهش پیدا نکند. در چنین شرایطی، مراجعه به پزشک و بررسی دقیق، از آسیبهای بلندمدت مفصل پیشگیری میکند.

آیا ورم زانو خطرناک است؟
در اغلب موارد، ورم زانو به علت فشار، آسیب جزئی یا فعالیت بیش از حد ایجاد میشود و با استراحت و مراقبت خانگی برطرف میگردد. اما وقتی تورم بدون دلیل واضح، ناگهانی یا مداوم رخ میدهد، میتواند نشانهای از مشکل جدیتر مانند التهاب مفصل، عفونت یا تجمع مایع درون مفصل باشد.
خطرناک بودن آب آوردن زانو بیشتر به مدت زمان، شدت و علائم همراه آن بستگی دارد. بهعنوان مثال، اگر ورم با تب، درد شدید یا گرمای موضعی همراه باشد، احتمال عفونت بالا است و نیاز به بررسی فوری پزشک دارد. در مقابل، ورم خفیف ناشی از فعالیت زیاد یا ورزش معمولاً بیخطر بوده و با چند روز استراحت برطرف میشود.
بیتوجهی به ورمهای مزمن یا تکرارشونده ممکن است در طول زمان باعث آسیب به مفصل زانو، تحلیل غضروف، یا محدودیت حرکتی دائمی شود. بنابراین، تشخیص بهموقع تفاوت میان ورم ساده و موارد پرخطر، نقش مهمی در حفظ سلامت مفصل دارد.
تشخیص آب آوردن زانو و بررسیهای لازم
تشخیص علت دقیق آب آوردن زانو نیازمند معاینه بالینی و گاهی آزمایشهای تکمیلی است. پزشک معمولاً با بررسی محل تورم، میزان درد، محدودیت حرکتی و سابقه آسیب یا بیماری، نوع مشکل را مشخص میکند.
| روش بررسی | توضیحات | کاربرد اصلی |
|---|---|---|
| معاینه فیزیکی | پزشک با لمس و مشاهده زانو، میزان ورم، حساسیت، و دامنه حرکت مفصل را بررسی میکند. | تشخیص اولیه نوع التهاب یا آسیب |
| سونوگرافی زانو | با امواج صوتی، مایع جمعشده یا آسیبهای نرم مانند پارگی رباط مشخص میشود. | بررسی وجود مایع مفصلی و آسیب تاندونها |
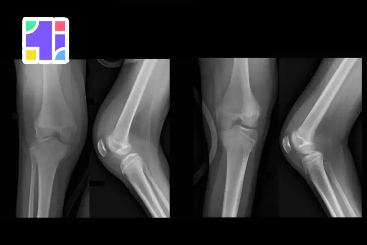
| رادیوگرافی (X-ray) | ساختار استخوان و وجود شکستگی یا آرتروز را نشان میدهد. | تشخیص آسیبهای استخوانی و آرتروز |
| MRI (تصویربرداری تشدید مغناطیسی) | تصاویر دقیق از بافت نرم، غضروف، مینیسک و رباطها ارائه میدهد. | شناسایی آسیبهای داخلی و التهابهای عمقی |
| آزمایش خون | وجود التهاب، عفونت یا بیماری خودایمنی را نشان میدهد. | بررسی آرتریت روماتوئید، نقرس، لوپوس |
| آسپیراسیون (تخلیه مایع مفصلی) | مایع مفصل برای آزمایش و تشخیص عفونت یا نقرس برداشت میشود. | تأیید تشخیصهای بالینی و تعیین نوع التهاب |
در صورت وجود تب، قرمزی یا درد شدید، مراجعه فوری به پزشک ضروری است؛ زیرا ممکن است عفونت مفصل (سپتیک آرتریت) مطرح باشد که تأخیر در درمان آن خطرناک است.
درمان سریع و مراقبت فوری آب آوردن زانو
درمان ورم زانو به علت زمینهای آن بستگی دارد؛ اما در بسیاری از موارد میتوان با اقدامات خانگی و داروهای موضعی، از شدت التهاب و درد کاست.
مراقبتهای خانگی اولیه (روش R.I.C.E)
چهار اصل مهم برای کاهش سریع تورم عبارتاند از:
-
استراحت (Rest): کاهش فشار روی زانو برای جلوگیری از آسیب بیشتر.
-
یخ (Ice): استفاده از کمپرس سرد به مدت ۱۵ تا ۲۰ دقیقه هر چند ساعت برای کاهش التهاب.
-
فشار (Compression): بستن زانو با بانداژ کشی برای کنترل تورم.
-
بالا نگه داشتن پا (Elevation): قرار دادن پا بالاتر از سطح قلب برای کاهش تجمع مایع.
داروها و پمادهای موضعی
استفاده از پمادهای ضد التهاب مانند دیکلوفناک، ایبوپروفن ژل یا کرم آرنیکا میتواند به کاهش درد و تورم کمک کند. البته در صورت وجود زخم باز یا حساسیت پوستی، باید از مصرف آنها خودداری شود.
داروهای خوراکی
در صورت التهاب شدید، پزشک ممکن است داروهای ضد التهاب غیراستروئیدی (مانند ناپروکسن یا ایبوپروفن) یا داروهای خاص برای کنترل آرتریت تجویز کند.
روشهای طب سنتی و درمان خانگی
استفاده از زنجبیل، زردچوبه، روغن سیاهدانه، یا کمپرس گیاهی بابونه از روشهای طبیعی و کمخطر برای کاهش التهاب و بهبود گردش خون در مفصل زانو محسوب میشود.
در کنار روشهای خانگی و دارویی، امروزه بعضی از ابزارهای پزشکی نوین نیز وارد بازار شدهاند که میتوانند در کاهش ورم و تسکین درد مؤثر باشند، از جمله زانوبند زاپیامکس. در ادامه خواهیم دید که زانوبند زاپیامکس چیست، چگونه عمل میکند و کجا میتواند جایگاهی در مسیر درمان شما داشته باشد.

زانو بند زاپیامکس ابزاری نوین برای کاهش ورم و درد زانو
زانوبند زاپیامکس (Zapiamax) یک زانوبند درمانی است که با استفاده از تکنولوژی ترکیبی UIC (اولتراسوند، مادون قرمز و کلاک پالس) طراحی شده است تا علاوه بر حمایت مکانیکی از زانو، با تحریک بافتهای عمیق و افزایش گردش خون موضعی، به کاهش التهاب و ترمیم بافت کمک کند. این ابزار میتواند بهعنوان مکمل در کنار درمانهای خانگی یا پزشکی مورد استفاده قرار گیرد، مخصوصاً برای افرادی که به دنبال روش کمتهاجمیتر برای کنترل ورم زانو هستند.
استفاده از زانوبند زاپیامکس معمولاً در مرحله مزمن یا التهابی (نه عفونت حاد) توصیه میشود، زمانی که نیاز به کاهش التهاب و تسریع روند ترمیم بافت دارید. البته باید توجه داشته باشید که این زانوبند ابزار کمک درمانی است، نه جایگزینی برای درمان پزشکی در موارد جدی.
درمانهای تخصصی و پزشکی در صورت لزوم
وقتی آب آوردن زانو ناشی از آسیب جدی، التهاب مزمن یا بیماریهای زمینهای باشد، درمان خانگی کافی نیست و باید از روشهای تخصصی پزشکی استفاده شود. هدف این درمانها، کاهش التهاب، تخلیه مایع اضافی، ترمیم بافت آسیبدیده و پیشگیری از تخریب مفصل است.
تزریقهای داخل مفصل
در مواردی که ورم ناشی از التهاب شدید باشد، پزشک ممکن است از تزریق کورتیکواستروئید برای کاهش فوری التهاب استفاده کند. در آرتروز یا خشکی مفصل زانو نیز تزریق هیالورونیک اسید میتواند به بهبود حرکت و کاهش درد کمک کند.

فیزیوتراپی و تمرین درمانی
فیزیوتراپی با تقویت عضلات اطراف زانو، به کاهش فشار بر مفصل و بازگشت دامنه حرکتی کمک میکند. تمرینات کششی، استفاده از گرما یا سرما درمانی، و تمرینات تعادلی از روشهای موثر در این مرحله هستند.
درمان جراحی
اگر آب آوردن زانو ناشی از آسیب ساختاری مانند پارگی مینیسک، تجمع مایع مکرر یا تومور باشد، ممکن است نیاز به عمل آرتروسکوپی یا جراحی باز وجود داشته باشد. این نوع درمان معمولاً برای موارد مزمن و غیرقابلدرمان با روشهای غیرجراحی انجام میشود.
کنترل و درمان بیماری زمینهای
در بیماران مبتلا به آرتریت روماتوئید، نقرس یا لوپوس، کنترل بیماری زمینهای با داروهای خاص، نقش کلیدی در پیشگیری از تکرار ورم زانو دارد. در این موارد، مراجعه منظم به پزشک متخصص و مصرف دارو طبق تجویز اهمیت زیادی دارد.
پیشگیری از آب آوردن زانو و مراقبت بلندمدت
پیشگیری از ورم زانو نیازمند توجه به سبک زندگی، فعالیت بدنی مناسب و تقویت عضلات اطراف مفصل است. رعایت چند نکته ساده میتواند احتمال تورمهای مکرر را تا حد زیادی کاهش دهد:
توصیههای اصلی برای مراقبت از زانو
-
حفظ وزن متعادل: اضافهوزن یکی از عوامل اصلی فشار بر مفصل زانو است.
-
تقویت عضلات چهارسر ران: عضلات قویتر از مفصل محافظت میکنند.
-
پرهیز از نشستن طولانیمدت یا دو زانو: این وضعیتها جریان خون را مختل و تورم را تشدید میکند.
-
استفاده از کفش مناسب و محافظ زانو در فعالیتهای ورزشی: از فشارهای ناگهانی جلوگیری میکند.
-
مصرف مواد غذایی ضد التهاب: مانند ماهیهای چرب، زردچوبه، زنجبیل و میوههای سرشار از آنتیاکسیدان.
انجام حرکات کششی ملایم و گرمکردن قبل از ورزش، از مهمترین راههای جلوگیری از آسیب و آب آوردن زانو محسوب میشود.
جمعبندی
آب آوردن زانو همیشه نشانه خطرناک نیست، اما نباید آن را ساده گرفت. تورم خفیف پس از فعالیتهای روزمره معمولاً با استراحت و مراقبت خانگی برطرف میشود؛ با این حال، ورم مداوم، همراه با درد یا تب میتواند علامتی از بیماریهای جدی مانند آرتریت، عفونت یا تجمع مایع مفصلی باشد.
اگر تورم بیش از چند روز باقی بماند یا با نشانههایی مانند قرمزی، درد شدید و محدودیت حرکتی همراه شود، مراجعه به پزشک بهترین اقدام برای پیشگیری از آسیبهای جدیتر است.
سوالات متداول
-
آیا آب آوردن زانو همیشه با درد همراه است؟
خیر. گاهی ورم بدون درد ظاهر میشود، بهویژه در مواردی مانند تجمع مایع مفصلی یا کیست بیکر. اما در بیشتر موارد، درد نشانه التهاب یا آسیب داخلی است.
-
آیا آب آوردن زانو خودبهخود برطرف میشود؟
اگر علت آن فشار موقتی یا فعالیت زیاد باشد، معمولاً طی چند روز کاهش مییابد. اما ورمهای ناشی از عفونت یا بیماریهای مفصلی بدون درمان مناسب از بین نمیروند.
-
چه زمانی آب آوردن زانو خطرناک است؟
زمانی که با تب، قرمزی، گرمای موضعی یا محدودیت حرکتی همراه باشد، احتمال عفونت یا التهاب جدی وجود دارد و باید فوراً به پزشک مراجعه کرد.
-
بهترین پماد برای ورم زانو چیست؟
پمادهای ضد التهاب موضعی مانند دیکلوفناک یا ایبوپروفن ژل معمولاً برای کاهش درد و تورم مؤثرند. البته در موارد مزمن، باید درمان دارویی طبق تشخیص پزشک انجام شود.
-
آیا میتوان با ورزش از آب آوردن زانو جلوگیری کرد؟
بله. تمرینات تقویتی و کششی ملایم، بهویژه برای عضلات چهارسر ران و همسترینگ، باعث افزایش ثبات مفصل و کاهش احتمال ورم میشود.